Çığlık atan mumyanın sırrı ortaya çıktı
Yüzündeki ifade nedeniyle 'çığlık atan mumya' olarak anılan ve yıllardır gizemi çözülemeyen mumyanın sırrı ortaya çıktı. Bilim insanları mumyanın yüzündeki ifadenin nedenini açıkladı.
11.07.2024 16:03:00
Yayın Tarihi11.07.2024 16:03:00
Güncelleme Tarihi
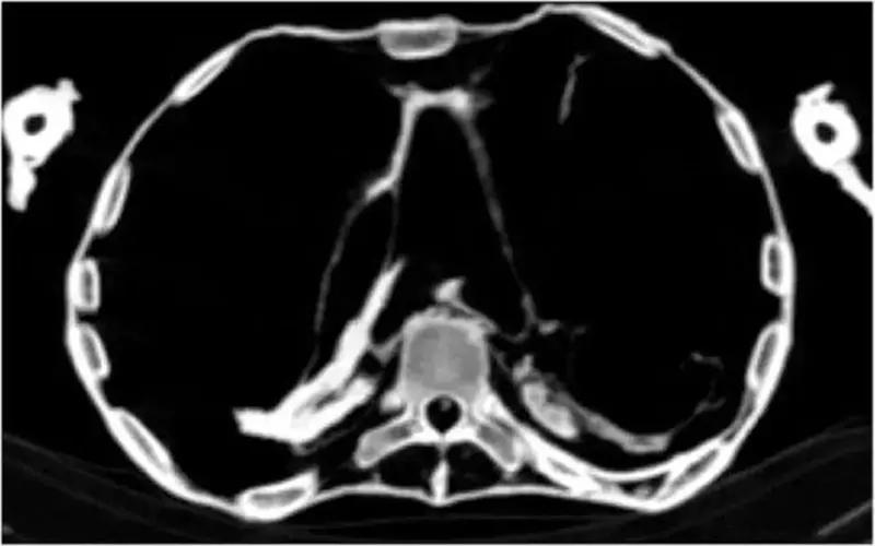
Mısır'da arkeologlar ve radyologlar tarafından yürütülen araştırma sonunda, 'çığlık atan mumya' olarak bilinen Mısırlı prensesin 3 bin yıl önce kalp krizi nedeniyle yaşamını yitirdiği belirlendi. Prensesin damar sertleşmesi ve koroner kalp hastalığından mustarip olduğu ve bunun sonucunda ani bir şekilde yaşamını yitirdiği belirtildi.

Mısır bilimci Doktor Zahi Hawass, bulgularını şöyle açıkladı; "Çığlık atan kadının cansız bedeninin saatler sonrasına kadar keşfedilmemiş olabileceğini varsayıyoruz, bu da ölüm katılaşmasını sağlamaya yetecek bir süre.

Mumyalama işlemini yapanların, kadının büzülmüş bedenini çürümeden ya da gevşemeden önce mumyaladığını düşünüyoruz. Bu nedenle kadının ağzını kapalı tutamadılar ya da bedenine yatış pozisyonu veremediler, ki bu diğer mumyalarla karşılaştırıldığında alışılmadık bir durum. Böylece ölüm anındaki yüz ifadesi ve duruşu korunmuş oldu."

Yüzündeki acı dolu ifade nedeniyle 'çığlık atan mumya' olarak adlandırılan mumya, 1881'de Luksor'da bir kraliyet mezarlığında bulunmuştu. Mumya, bacakları bükülmüş ve çaprazlanmış, başı hafif eğik ve ağzı açık bir halde keşfedilmişti.

Prensesin sarılı olduğu bezdeki yazılardan yola çıkan uzmanlar, mumyanın Firavun Meret Amon'un kız kardeşine ait olduğunu düşünüyor. Ancak bu unvan pek çok prenses için kullanıldığından, mumyanın gerçek kimliği bilinmiyor.

4000 YIL SONRA ORTAYA ÇIKTI! BİLİM İNSANLARI ŞAŞKIN
Modern çağdaki hastalıkların binlerce yıl önce olup olmadığı hep merak konusu olmuştur.

American Heart Journal'da Güney Amerika ve Mısır'da ortaya çıkan mumyalarla ilgili yeni bulgular yayımlandı.

Bilim insanları, 4 bin yıllık mumyalarda kalp rahatsızlıkları belirtilerini keşfetti.

Yeni araştırmada, modern zamanın sağlıksız diyetleriyle ilişkili olan hastalığın antik çağda daha yaygın olduğu tespit edildi.

Uzmanlar, mumyalarda damar tıkanıklığı bulgularına ulaştı.

Houston'daki Teksas Sağlık Bilimleri Merkezi'ndeki McGovern Tıp Fakültesi'nde kalp-damar cerrahisi yardımcı profesörü olan Muhammed Madjid şunları söyledi;

"20 yıldan uzun bir süredir kitlelerdeki kalp hastalığı modeline bakıyorum.

"20 yıldan uzun bir süredir kitlelerdeki kalp hastalığı modeline bakıyorum.

Dr. Madjid, arter duvarlarında kolesterol birikmesinin "vücudun yara iyileşme mekanizmasında kötü sonuçlar doğurduğunu" açıkladı.

Dr. Madjid, arter duvarlarında kolesterol birikmesinin "vücudun yara iyileşme mekanizmasında kötü sonuçlar doğurduğunu" açıkladı.
























